622 Avenue U, Brooklyn, NY 11223
New Patients: 
(718) 412-9693
Existing Patients: 
(718) 382-0707
Dentist in Gravesend

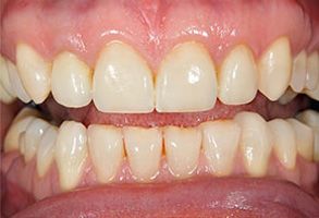
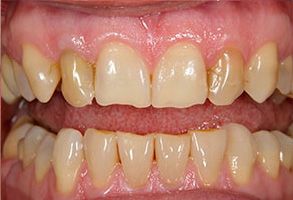
Dentistry Before and After Photos

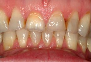
before

Before

Harmony Dental Studio | Teeth Whitening, Extractions and Implant Dentistry

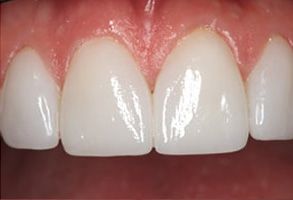
After

Harmony Dental Studio | Dentures, Sports Mouthguards and Pediatric Dentistry

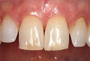
Before

Harmony Dental Studio | Periodontal Treatment, Oral Exams and Emergency Treatment

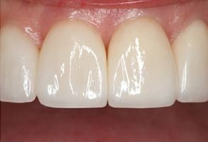
After

Harmony Dental Studio | Night Guards, Pediatric Dentistry and Invisalign reg

Before

Harmony Dental Studio | Oral Cancer Screening, Night Guards and Dental Bridges

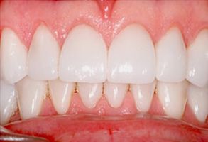
After

Harmony Dental Studio | Invisalign reg , Dentures and Extractions

Before

Harmony Dental Studio | Teeth Whitening, Night Guards and Laser Dentistry

After

Harmony Dental Studio | Emergency Treatment, Dental Bridges and Crowns  amp  Caps

Before

Harmony Dental Studio | Dentures, Teeth Whitening and Emergency Treatment

After

Harmony Dental Studio | Night Guards, Invisalign reg  and Oral Cancer Screening

Before

Harmony Dental Studio | Emergency Treatment, Digital Radiography and Root Canals

After

Harmony Dental Studio | Pediatric Dentistry, Oral Cancer Screening and Implant Dentistry

Before

Harmony Dental Studio | Pediatric Dentistry, Laser Dentistry and Periodontal Treatment

After

Contact Us

Schedule your appointment online or give us a call to get started today.

Harmony Dental Studio 622 Avenue U, Brooklyn, NY 11223
New Patients: 
(718) 412-9693
Existing Patients: 
(718) 382-0707